Skip to main content

Імплантація зубів

Послуги з імплантації зубів

У стоматології МоканДент ми пропонуємо послуги з імплантації зубів, які допомагають відновити не лише вашу усмішку, але й функціональність зубів. Ми працюємо за світовими стандартами імплантації та встановлюємо корейські імпланти фірми OSSTEM.

Незалежно від того, чи вам потрібен одиночний імплант, міст або повне відновлення втрачених зубів, ми розробимо індивідуальний план лікування, який відповідає вашим потребам та бюджету. Наш підхід базується на основних принципах якості, безпеки та комфорту пацієнтів, завдяки чому ви можете відчути впевненість у якості лікування та довіритися нам у відновленні Вашої посмішки.

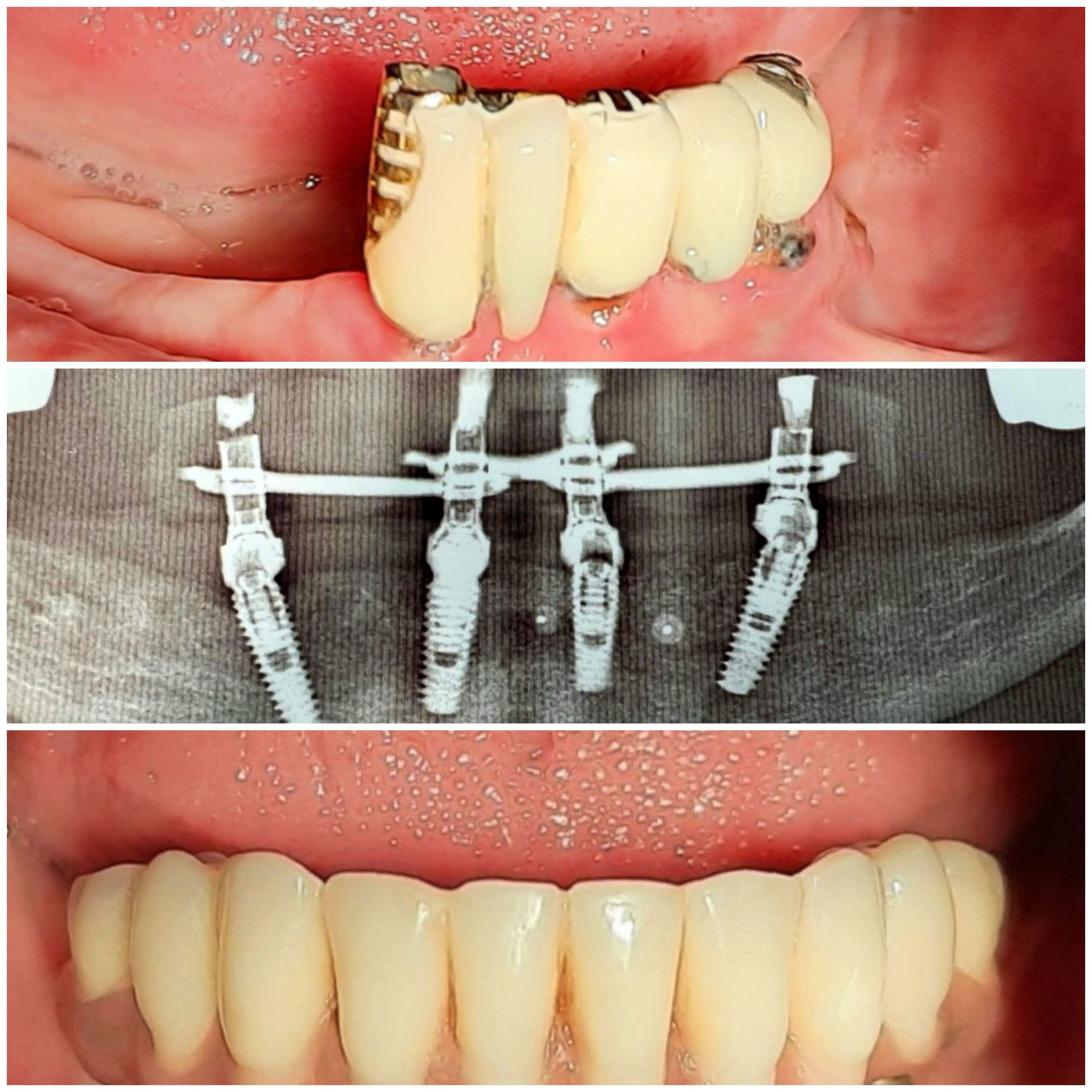
Зубні імплантати

Зубні імплантати – це сучасне та ефективне рішення для відновлення втрачених зубів, яке надає стабільний функціональний та естетичний результат. Вони інтегруються з природними тканинами щелепи, забезпечуючи надійне кріплення та повернення комфорту у щоденному житті.

Коронки та мости

Коронки та мости – це ефективні стоматологічні рішення, які використовуються для відновлення пошкоджених чи втрачених зубів. Коронки надають індивідуальний захист та відтворюють природний вигляд, а мости заміняють відсутні зуби, відновлюючи функціональність та естетику усмішки.

Зубні протези

Зубні протези – це зручне та ефективне рішення для відновлення втрачених зубів та покращення якості життя. Вони дозволяють повернути комфорт при жуванні, мовленні та відтворити природний вигляд усмішки.

Вініри

Вініри – це тонкі та естетичні оболонки, які надійно кріпляться на передню поверхню зубів, забезпечуючи відмінний зовнішній вигляд та корекцію незначних дефектів усмішки. Цей метод дозволяє досягти швидкого та довготривалого результату, покращуючи естетику та впевненість у себе.

найчастіші запитання

У Вас є запитання?
У нас є відповідь!

Які обмеження після встановлення імплантатів?

Після операції можуть бути деякі обмеження щодо типу їжі або фізичної активності, для підтримання правильного процесу загоєння. Ваш стоматолог надасть докладні інструкції для успішної реабілітації.

Чи можуть імплантати викликати алергічну реакцію?
Зубні імплантати виготовляються з біокомпатібельних матеріалів, таких як титан. Це зменшує ризик алергічних реакцій та відторгнення організмом.
Чи болісний процес встановлення імплантатів?

Процес встановлення імплантатів проводиться під місцевою анестезією, тому дискомфорт під час процедури мінімізований. Після операції може відчуватися легка дискомфортність, яка зазвичай швидко зникає.

Чи важко доглядати за зубними імплантатами?

Ні, догляд за зубними імплантатами схожий на догляд за вашими природними зубами. Регулярне чищення, ниткою та регулярні візити до стоматолога – це ключ до довговічності та здоров’я ваших імплантатів.

Чи можу я використовувати імплантати для заміни кількох втрачених зубів?

Так, імплантати можна використовувати для заміни одного, кількох або навіть всіх втрачених зубів. Це залежить від вашої індивідуальної ситуації.

Лікарі-імплантологи

  • Концепція все на чотирьох Імплантологія
  • зубна пломба
  • пломбування зубів
  • естетична стоматологія
  • естетична стоматологія

Потрібна більш детальна консультація?

Ваша посмішка
в надійних руках

Не відкладайте своє здоров'я на завтра

Розташування

Нижньо-воскресенська 9A
40030 Суми
Україна

Час роботи
  • Пн – Пт

    8:00 – 18:00

  • Сб

    9:00 – 14:00

Стоматологія
Інформація
Стоматологія
Слідкуйте за нами

MokanDent

Вітаємо на сайті стоматологічної клініки МоканДент. Для спілкування з адміністратором через Viber натисніть на кнопку

Powered by WpChatPlugins