Skip to main content
про клініку

Стоматологія МоканДент продовжує традиції клініки ГраДент, відкритої в 1996 році

Стоматологія МоканДент
Наші професіонали

Знайомтесь з колективом клініки

Дозвольте представити наш чудовий колектив клініки – дружню та професійну команду, готову забезпечити вас найкращою стоматологічною допомогою. Наші висококваліфіковані спеціалісти об’єднали свої знання та досвід, щоб зробити ваше відвідування нашої клініки найприємнішим та результативним. Разом ми прагнемо забезпечити вам не тільки відмінні стоматологічні послуги, а й теплу атмосферу, де ваше здоров’я та комфорт – наш пріоритет.

Стоматолог-хірург Мокан Олена

Олена Мокан

Головний лікар клініки
Євген Жаль лікар-ортопед стоматолог

Євген Жаль

Лікар-ортопед
наш девіз

Якість, перевірена часом

Персональний Підхід до Кожного Пацієнта

Сучасна стоматологічна клініка ставить пацієнта на перше місце. Вона враховує індивідуальні потреби та обставини кожного клієнта, забезпечуючи персоналізований підхід до лікування та догляду.

Високі Технології та Інновації

Ми використовуємо передові технології та обладнання для точної діагностики та ефективного лікування. Це дозволяє забезпечити найкращі результати і мінімізувати незручності для пацієнта.

Інтегровані Медичні Підходи

співпрацюємо з іншими медичними спеціалістами, такими як ортопеди та імунологи, для забезпечення комплексного догляду за пацієнтами. Це допомагає виявити та вирішити проблеми, пов’язані зі здоров’ям ротової порожнини.

Комфорт та Естетика

ми розуміємо важливість комфорту та естетики для пацієнта, тому створюємо спеціальні умови для максимального зручності та релаксації під час візиту, щоб забезпечити приємний досвід навіть під час лікування.

онлайн візит

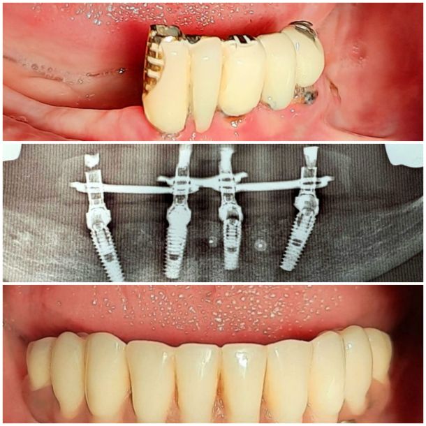
Фотогалерея клініки

Ваша посмішка
в надійних руках

Не відкладайте своє здоров'я на завтра

Розташування

Нижньо-воскресенська 9A
40030 Суми
Україна

Час роботи
  • Пн – Пт

    8:00 – 18:00

  • Сб

    9:00 – 14:00

Стоматологія
Інформація
Стоматологія
Слідкуйте за нами

MokanDent

Вітаємо на сайті стоматологічної клініки МоканДент. Для спілкування з адміністратором через Viber натисніть на кнопку

Powered by WpChatPlugins